SARKOIDOZA I ZGLOBOVI, MIŠIĆI I KOSTI

Sarkoidoza može zahvatiti mnoge dijelove tijela uključujući zglobove, mišiće i kosti. Otprilike 1 od 5 bolesnika sa sarkoidozom ima ove mišićno-koštane simptome. Ovo sadrži više informacija o simptomima, pretragama i liječenju sarkoidoze koja zahvaća zglobove, mišiće i kosti.

 

Kosti

Sarkoidoza može utjecati na kosti na dva načina: izravno kroz upalu u kosti i neizravno kroz tretmane koji se poduzimaju za ublažavanje simptoma sarkoidoze.

 

Simptomi 

Većina ljudi sa sarkoidozom u kostima ne osjeća simptome. Sve promjene na kostima uzrokovane ovim stanjem uočavaju se skeniranjem slika. Vaš će liječnik često htjeti napraviti dodatne pretrage - te promjene mogu biti uzrokovane i drugim stanjima i važno je otkriti jesu li posljedica sarkoidoze.

 

Možda neće biti potrebno mijenjati liječenje sarkoidoze ako su vaše kosti zahvaćene, osobito ako vam ne uzrokuju nikakve simptome. Međutim, ponekad vam liječnik može preporučiti lijekove za imunitet slične liječenju bolesti zglobova ili mišića.

 

Nuspojave liječenja Bolesnici sa sarkoidozom često se liječe terapijom kortikosteroidima (prednizolon). To može uzrokovati omekšavanje kostiju (osteoporozu). Tanke kosti ne uzrokuju simptome, ali ostavljaju kosti oslabljene, krhkije i sklonije lomljenju.

 

Pretrage 

Pacijenti na dugotrajnoj terapiji steroidima mogu se pregledati na osteoporozu pomoću skeniranja gustoće kostiju ('DEXA' skeniranje). Time se mjeri koliko su vaše kosti jake i može pomoći u usmjeravanju liječenja. Vaš liječnik također može izmjeriti razine kalcija i vitamina D. Na njihove razine može utjecati sarkoidoza i važni su za zdrave kosti.

 

Liječenje 

Postoji niz tretmana koji pomažu ojačati kosti i spriječiti prijelome. Najčešće propisivan lijek je alendronska kiselina jednom tjedno. Ovo se ponekad propisuje uz dodatke kalcija i/ili vitamina D.

 

Kako osobe sa sarkoidozom mogu biti sklone visokoj razini kalcija, je li važno da se izmjere razine kalcija i vitamina D prije uzimanja bilo kakvih dodataka prehrani. Te će se razine zatim redovito pratiti krvnim pretragama. Za dodatne savjete posjetite web stranicu SarcoidosisUK.

 

na i dr. J. Gallowaya , reumatologije, bolnice Kings College, London.

Savjet

Održavajte zdrave kosti:

-biti fizički aktivan
-unos dovoljne količine kalcija (mliječni proizvodi, voće i povrće)
-uzimajući dovoljno vitamina D (sunčeva svjetlost)


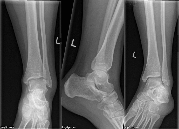
Zglobovi

Kronična bol u zglobovima pogađa manje od 1% svih pacijenata sa sarkoidozom. Važno je da vaš liječnik zna za vaše simptome zglobova jer bi vam mogle koristiti promjene u liječenju ili fizioterapiji.

 

Simptomi Svaki zglob može biti zahvaćen sarkoidozom, ali glavni zahvaćeni zglobovi su stopala, gležnjevi i koljena.

Simptomi obično uključuju:
-bol
-krutost i krutost
-oteklina, ponekad crvene boje

 

Pretrage 

Bolovi u zglobovima dijagnosticiraju se nakon savjetovanja s liječnikom. Povremeno su potrebna daljnja ispitivanja. To može uključivati rendgenske snimke vaših zglobova ili druge slikovne pretrage (ultrazvuk ili MRI). Vaš liječnik može uzeti uzorak tekućine iz vašeg otečenog zgloba pomoću igle i šprice (biopsija).

 

Liječenje 

Postoji niz tretmana koji mogu smanjiti simptome u vašim zglobovima. Oni mogu uključivati nesteroidne protuupalne lijekove (NSAID), kortikosteroide (prednizolon) ili druge imunološke lijekove kao što je metotreksat.

 

Savjeti 

Upaljeni zglobovi mogu biti bolni i mogu ograničavati svakodnevno kretanje. Unatoč tome, pokušajte se svakodnevno kretati i vježbati. Vježba može pomoći u smanjenju ukočenosti koja se osjeća oko zglobova. Ako osjetite umjerenu do jaku bol u zglobovima kao posljedicu vježbanja, odmah prekinite i posavjetujte se s liječnikom.

 

'Löfgrenov sindrom'

Neki pacijenti mogu razviti iznenadnu bol i oticanje zglobova, najčešće na gležnjevima. U isto vrijeme mogu razviti bolne crvene ili ljubičaste kvrge na potkoljenicama. Ove promjene na koži nazivaju se 'nodozni eritem'. Kada se ovi simptomi pojave zajedno, vaš liječnik može dogovoriti rendgensko snimanje prsnog koša kako bi se potražile povećane limfne žlijezde u prsnom košu.

 

Ove limfne žlijezde obično ne uzrokuju nikakve simptome. Kombinacija ovih zajedničkih simptoma, kožnih promjena (eritema nodosum) i povećanih limfnih žlijezda u prsima na rendgenskoj snimci naziva se 'Löfgrenov sindrom'. Ovo je sezonsko stanje koje se najčešće javlja u proljeće i jesen kada se temperatura mijenja.

 

Liječenje

'Löfgrenov sindrom' često prolazi sam od sebe, bez potrebe za određenim lijekovima. Ponekad se daju nesteroidni protuupalni lijekovi (NSAID) ili kortikosteroidi (prednizolon) na kratko vrijeme kako bi se ublažili simptomi.

 

Mišići

Zahvaćenost mišića kod sarkoidoze je relativno neuobičajena. Neki ljudi mogu razviti kvržice u mišićima koje mogu biti bolne. U drugim slučajevima zahvaćenost mišića je manje specifična i može uzrokovati osjećaj slabosti mišića. Važno je obavijestiti svog liječnika ako se ti simptomi razviju.

 

Istraživanje 

To može uključivati skeniranje mišića (MRI skeniranje ili CT PET skeniranje), električne testove mišića ili uzimanje uzorka mišića (biopsija). Biopsije mišića jednostavni su postupci za izvođenje i mogu se obaviti u lokalnoj anesteziji.

 

Liječenje 

Kada su mišići zahvaćeni sarkoidozom, liječenje je obično kombinacija kortikosteroida (prednizolona) uz druge imunološke lijekove (npr. azatioprin ili metotreksat).

 

Informacije prikupljene su uz pomoć stručnjaka za sarkoidozu dr. K. Bechma

Rating: 0 stars
0 votes