Stadiji plućne sarkoidoze - što oni zapravo znače?

Kod sarkoidoze, stadije su način da se pokaže lokacija granuloma - pluća, limfni čvorovi ili oboje - i priroda bolesti.
Ako ništa drugo, stadiji su jednostavan način za liječnike da kategoriziraju svoje pacijente sa sarkoidozom i ne bi ih se trebalo smatrati pokazateljem ozbiljnosti.

 

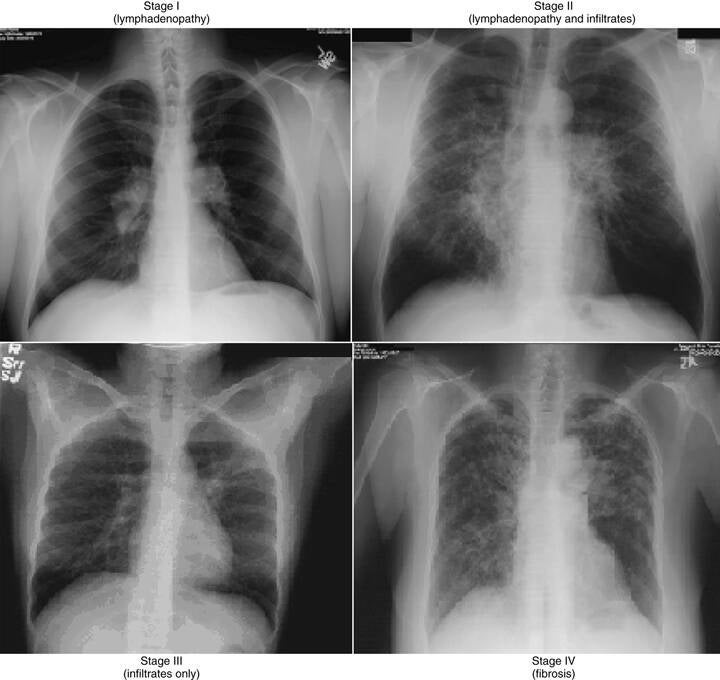
Prvi stadij sarkoidoze ukazuje na granulome u limfnim čvorovima.
Drugi stadij ukazuje na zahvaćenost limfnih čvorova uz granulome u plućima. U početku bi se ovo moglo činiti progresivnom dijagnozom u usporedbi s prvim stadijem.

Međutim, treći stupanj sarkoidoze ukazuje na granulome prisutne u plućima, ali ne i u limfnim čvorovima. Ovo pokazuje kako faze nisu progresija.
Pacijent može čak ići između ovih faza - možda imate drugi stadij sarkoidoze, a zatim s liječenjem ili vremenom prijeđete u prvi ili treći stadij ili u potpunosti uđete u remisiju.

Četvrti stupanj sarkoidoze je malo drugačiji od ostala tri. Stadij četiri ukazuje na ožiljke u plućima - plućnu fibrozu - koja je nepovratna. Zbog toga je četvrta faza najteža manifestacija sarkoidoze. Ovo također doprinosi pogrešnom mišljenju da stadiji sarkoidoze slijede progresiju.

 

Stadij sarkoidoze ne ukazuje na razinu ozbiljnosti - zapravo, svaki "stadij" može biti na različitoj razini ozbiljnosti. Pojedinac može imati granulome u plućima, ali nigdje drugdje (stadij tri) i biti potpuno asimptomatski. Ova vrsta sarkoidoze često se slučajno otkrije na rendgenskom snimku zbog druge ozljede ili bolesti, a možda čak i ne zahtijeva liječenje. U drugom slučaju, netko može imati granulome prisutne samo u svojim limfnim čvorovima (prvi stadij), ali osjeća jaku bol i oteklinu ili druge komplikacije.

 

Ne griješite - svi stadiji plućne sarkoidoze mogu biti teški. Bilo koja faza može uzrokovati ozbiljne simptome i iscrpljujući umor. 

 

Izvor: https://www.stopsarcoidosis.org/stages-of-sarcoidosis/

 

Rating: 5 stars
1 vote